CBSE Class 12 Physical Education Physiology And Injuries In Sports Notes

Download the latest CBSE Class 12 Physical Education Physiology And Injuries In Sports Notes in PDF format. These Class 12 Physical Education revision notes are carefully designed by expert teachers to align with the 2026-27 syllabus. These notes are great daily learning and last minute exam preparation and they simplify complex topics and highlight important definitions for Class 12 students.

Revision Notes for Class 12 Physical Education Physiology And Injuries In Sports

To secure a higher rank, students should use these Class 12 Physical Education Physiology And Injuries In Sports notes for quick learning of important concepts. These exam-oriented summaries focus on difficult topics and high-weightage sections helpful in school tests and final examinations.

Physiology And Injuries In Sports Revision Notes for Class 12 Physical Education

PHYSIOLOGY AND INJURIES IN SPORTS

Contents 
Physiological factor determining component of Physical Fitness 
• Effect of exercise on Cardio Respiratory System
• Effect of exercise on Muscular System
• Physiological changes due to ageing
• Sports injuries: Classification (Soft Tissue Injuries:(Abrasion, Contusion, Laceration,Incision,Sprain & Strain) Bone & Joint Injuries: (Dislocation, Fractures: Stress Fracture, Green Stick,Communated, Transverse Oblique & Impacted) Causes, Prevention& treatment
• First Aid – Aims & Objectives
 
Learning outcomes 
At the end of the chapter, you will be able to:
• recognize the physiological factors determining the components of physical fitness
• comprehend the effects of exercise on cardio respiratory system
• know the effects of exercise on cardio respiratory system
• figure out the physiological changes due to ageing
• identify and classify sports injuries
• recognize and demonstrate the aims and objectives of First Aid
 
Discussion
In groups, discuss
• The injuries you have suffered on the Games field.
• The Sport/Game you were playing when the injury occurred.
• The cause of the injury.
• The treatment.
• Could the injury have been prevented?

Share your information with the class.
 
Physiological Factors Determining the Component of Physical Fitness 
Exercise physiology is a study of the body’s response to exercise. In the human body we majorly study skeletal, muscular, nervous, endocrine, cardiovascular, metabolic, respiratory,digestive, urinary and reproductive systems which are somehow affected by exercises.During exercise, all systems of our body work jointly but responses of these systems are independent. Metabolic system produces energy and also takes care of intake and output of energy. Cardiovascular system controls circulation, transports oxygen and energy to muscles and waste products from muscles. Respiratory system takes in air, diffuses oxygen to lungs and muscle tissue and removes carbon dioxide from body. Neuromuscular skeletal system allows body movements through muscle contraction. Neuroendocrine and Immune system help to maintain homeostasis of the body. To develop fitness, each component has different exercise, intensity and volume, so the responses of systems are different. Here we will study on three major physiological factors that determine the various components of fitness.
 
Skeletal Muscles Factor 
Skeletal muscles are made up of muscles fibres which are divided into two categories Slow twitch fibres or Type I fibres and Fast twitch fibres or Type II fibres. Mostly muscles contain a mix of both fast and slow twitch fibres and proportion of theses fibres is dependent on genetics, hormones and habits of exercises. Composition of fibres in muscles plays a dominant role in development of strength, endurance, and speed performance. Skeletal muscles have four properties contractility, excitability, extensibility and elasticity and four contractile characteristics namely maximal force production, speed contraction, maximal power output and efficiency of contraction. These characteristics existing in muscles determine different components of fitness.
 
Type I fibres or slow twitch fibres or slow oxidative fibres contain large numbers of oxidative enzymes, have more capillaries, higher concentration of myoglobin and mitochondrial enzyme than fast twitch fibres which promote aerobic activity and resistance against fatigue. Due to higher concentration of capillaries the colour of fibres becomes red and has greater supply of blood. Such types of fibres contract at low rate and keep contracting for longer duration without fatigue; thus, producing large amounts of energy slowly. Slow twitch fibres help in long distance running, swimming, cycling etc.
 
Type II fibres or Fast twitch fibres or Fast glycolytic fibres contain a good volume of glycolytic enzymes which promote anaerobic activity but due to less number of mitochondria they have limited aerobic capacity and low fatigue resistance. Fast twitch fibres do not require blood supply to produce energy so their colour is lighter as compared to slow twitch fibre. Such fibres have fast contraction rate, tire rapidly and consume lots of energy, and are able to produce small amount of energy quickly. It helps in anaerobic activities like jumps, throws, sprint etc.
 
Muscles fibres play a dominant role in sports performance. Regular training can change the proportion of slow and fast twitch fibres.
 
Sprinters generally have a higher percentage of Type II fibres and a lower percentage of Type I fibres, while endurance athletes have a higher percentage of Type I fibres and a lower percentage of Type II fibres. There are variations of types of fibres among athletes participating in the same sports also. The amount of force generated through muscle contraction depends on the number and types of motor units, length of muscles, nature of neural stimulation of the motor units and contractile history of muscle.

CBSE Class 12 Physical Education Physiology And Injuries In Sports Notes

Energy Production Factor
Cellular respiration is a process in which ATP is formed through food. Main source of energy in food is in form of carbohydrates, proteins and fats. Each has different complex chemical process to form ATP energy. During exercise, the load on metabolic system increases manifold because of increase in demand of energy by different systems. In this process, carbohydrates give instant energy as compared to fats and proteins, but fats give a larger amount of energy as compared to carbohydrates and proteins. Higher intensity aerobic activity requires carbohydrates in the form of glucose and glycogen as fuel.

Do you know?
Metabolism: is a process of overall energy transformations occurring in the body.
Anabolism: is a process of energy used to build tissues through proteins.
Catabolism: is a process of breakdown of food and stores to produce energy for work.

Carbohydrates work as a fuel for short duration exercise, fats are utilized for long duration exercises and proteins contribute a small but important proportion of nourishment.
Basically, three energy system works in our body ATP-CP system, anaerobic system and aerobic system. ATP- CP system provides energy if the activity is less than 10 second. Such activities are dynamic in nature and of very short duration and very intensive. They include jumps, throws, sprints, weightlifting, powerlifting etc. Anaerobic system provides energy for

less than two minutes, in activities like 200m, 400m races. Aerobic system provides energy for long duration activities like marathon, football, hockey etc. Aerobic and anaerobic systems work simultaneously, but which system is predominant depends upon type, duration, intensity of exercise, long and short-term nutritional status, proportions of types of muscle fibres etc.

Cardiorespiratory Factor
Cardiorespiratory system is combination of respiratory and cardiovascular systems which jointly work to transport oxygen to the cells and support metabolism by delivering nutrients, which provide energy to neuromuscular system and neuroendocrine system. During exercise, the demand for energy increases and to meet the demand, oxygen is required in appropriate volume, to achieve the same. Demand of energy depends on intensity, duration and type of activity. To match the same, the respiratory system parameters: pulmonary ventilation, external respiration and internal respiration work together. The cardiovascular response to exercise is directly proportional to the demands of the skeletal muscles for Oxygen. Maximal oxygen consumption (VO2 Max), Blood pressure, blood volume, oxygen diffusion and extraction, muscle and arterial blood flow etc. simultaneously increase as per activity.

Physical Fitness Components determined by the Physiological Factors
Now we will understand how above-mentioned physiological factors determine fitness. We have taken four components of physical fitness namely strength, endurance, speed and flexibility.

The factors can be briefly understood as:
Strength – Strength component has varied sub-types like maximum strength, Explosive strength, Strength, Endurance etc. Each has different types of exercise, intensity and duration so physiological factors vary. In games like weightlifting, jumps, sprint or power, agility and strength dominating sports where force production is high, fatigue is quick, and fast twitch fibre percentage must be high in muscles. ATP-CP system or anaerobic system works to produce energy for strength training. Stroke volume (the volume of blood pumped out of the left ventricle of the heart during each systolic cardiac contraction) is a vital parameter as far as cardiovascular system is concerned.

Class 12 Physical Education Physiology And Injuries In Sports_1

Do you know?
Nameirakpam Kunjarani Devi (born 1 March 1968) is the most decorated Indian sportswoman in weightlifting. She is a recipient of Arjuna Award, Padma Shri and Rajiv Gandhi Khel Ratna.

Endurance: Endurance also varies from brisk walk to running to marathon. While in each activity intensity and duration varies, but one thing is common in all these activities: that is long duration and low fatigue activity. Activities like cycling, swimming or long duration activities come under endurance component. Slow twitch fibre percentage must be higher in comparison with fast twitch fibres to give better performance in endurance. Aerobic system provides energy in endurance training. Maximal oxygen consumption (Vo2), ventilation capacity plays dominating role in endurance training.

Speed: In speed training percentage of fast twitch fibres is very high in muscles, These activities include 100m race, roller skating, or any movements that require work to be done in minimum possible time. A vital physiological factor to give best speed performance is motor neuron stimulation. The brain sends a message to the muscles to act fast. To meet the demand of energy, the ATP CP system works.

Class 12 Physical Education Physiology And Injuries In Sports_2

Do you know?
In 100 m sprint event:
The current men's world record is 9.58 seconds, set by Jamaica's Usain Bolt in 2009, while the women's world record of 10.49 seconds set by American Florence Griffith-Joyner in 1988 remains unbroken.

Flexibility: Activities of stretching or yoga require a good deal of flexibility. Physiological factors like elasticity and extendibility of muscles, type of joint, homothermal temperature are key determents of flexibility. Muscles, tendons and ligaments are key components that affect flexibility. Muscles groups like agonists, antagonists, neutralizers and stabilizers should understand for training purpose.

Do you know?
Aerobic Exercise is any type of cardiovascular conditioning. It can include activities like brisk alking, swimming, running, or cycling. You probably know it as “cardio.” By definition, aerobic exercise means “with oxygen.” Your breathing and heart rate will increase during aerobic activities.

Anaerobic Exercise is any activity that breaks down glucose for energy without using oxygen. Generally, these activities are of short length with high intensity. The idea is that a lot of energy is released within a small period of time, and your oxygen demand surpasses the oxygen supply.

ATP The Full form of ATP is Adenosine Triphosphate. ATP is a complex organic chemical that provides energy to drive many processes in living cells, eg., nerve impulse propagation, muscle contraction, and chemical synthesis

ATP-PCr Known also as immediate energy system, phosphagen system, and alactic anaerobic system, the ATP – PCr system is the main energy provider for a high intensity exercise of short duration up to 10 seconds, for example lifting a weight, swinging a golf club, doing a push – up, and throwing a hammer

Myoglobin a red iron-containing protein pigment in muscles that is similar to haemoglobin Mitochondrion any of various round or long cellular organelles of most eukaryotes that are found outside the nucleus, produce energy for the cell through cellular respiration, and are rich in fats, proteins, and enzymes

 Class 12 Physical Education Physiology And Injuries In Sports_3

Effect of Exercise on Cardiorespiratory System
Cardiorespiratory system consists two parts. They are

Class 12 Physical Education Physiology And Injuries In Sports_4

Cardiovascular system - It consists of three parts: the heart, blood vessels and blood. Its major function is to deliver oxygen and nutrients, remove CO2 and other metabolic waste products, to transport hormones and other molecules, to support thermoregulation and control of body fluid balance and lastly to regulate immune function.
Respiratory system - The important parts of the respiratory system are the nose, nasal cavity, pharynx, larynx, trachea, bronchi, and lungs. Air can also enter the respiratory system through the oral cavity. Its major functions include, transporting air to the lungs, exchanging gases (O2 and CO2) between the air and blood and regulating blood pH.

I. Tick the correct answers.

Q1. system provide energy during 5000m race.
(a) ATP CP system
(b) Anaerobic System
(c) Aerobic System
(d) Endurance System

Q2. Slow twist fibres are of colour.
(a) Red
(b) White
(c) Black
(d) Blue

Q3. Vo2 max is related to __________________
(a) Muscular system
(b) Respiratory system
(c) Cardiovascular system
(d) Energy production system

Q4. Which is NOT a property of muscles?
(a) Contractility
(b) Excitability
(c) Extensibility
(d) Durability

II. Answer the following questions briefly.
Q1. Point out physiological factor for strength.
Q2. Briefly describe the energy production system in our body.
Q3. Explain different properties of muscles.
Q4. Write a few points on cardiorespiratory factors determining fitness.

III. Answer the following questions in 150-200 words.
1 Explain Physiological factors determining fitness.

Effect of Exercise on Cardiovascular

Class 12 Physical Education Physiology And Injuries In Sports_5

Class 12 Physical Education Physiology And Injuries In Sports_6

Short Term Effects of Exercise on Cardiovascular System

1. Increased Heart Rate: Exercise makes the body work harder and therefore muscles require more oxygen to continue to work effectively. This sudden increase in demand of oxygen is met by an increase in blood circulation which is achieved by the heart. In this process, the heart rate increases.

2. Increased Blood Circulation: As the heart rate increases, blood circulation increases in the body to deliver the oxygen to muscles. As a result, the movement or flow of blood increases to tissues or organs.

3. Increased Blood Pressure: Endurance exercise leads to increase in systolic blood pressure which is in direct proportion to the increase in exercise intensity. The increased systolic blood pressure is because of the increased cardiac output that accompanies increasing rates of work. With most types of training there is minimal change in diastolic blood pressure.

4. Increased Stroke Volume: The volume of blood pumped during one beat (contraction) is called stroke volume. During exercise, stroke volume increases as more oxygen is required which is accomplished by delivering blood to muscles. After an endurance training program capacity of heart to pump blood in one contraction increased by 20 to 50 percent.

5. Increased Cardiac Output: Cardiac output is the amount of blood pumped out by each ventricle of the heart in 1 minute. It is the product of the heart rate (HR) and the stroke volume (SV). Resting cardiac output is approximately 5.0 L/min but differs according to the size of the person. Maximal cardiac output varies between less than 20 L/min in sedentary individuals to 40 or more L/min in elite endurance athletes. Increase in heart rate and stroke volume results in increase in cardiac output.

Long Term Effects of Exercise on Cardiovascular System

1. Increased Size and Strength of Heart: Continuous aerobic exercises help to increase the strength and the size of heart which helps in better performance. It is also referred as cardiac hypertrophy.

2. Low Level of Accumulation of Lactic Acid: Anaerobic respiration is the process of converting glucose into energy without oxygen. During the conversion from glucose to energy, lactic acid, a waste product, is created. Lactic acid makes muscles tired and painful. Regular exercises prepares muscles to adjust to working with lower levels of oxygen and the circulatory system develops itself to transport oxygen to different parts of the body, thereby resulting in low levels of lactic acid.

Extension Activity
Discuss in your group
The heart is an important part of the cardiovascular system. What can you do to keep your heart healthy?
What should you avoid doing?
What can happen if the cardiovascular system becomes unhealthy?
Your heart is a muscle about the size of your fist. Compare it to other muscles. Can you control it like you do the muscles in your arms or legs?
Can you exercise it like you do other muscles?

3. Decrease in Resting Heart Rate: Due to improved efficiency of the heart, it is required to pump less blood to meet the needs of the body. As a result, the heart rate at rest decreases. It is also called as Bradi Cardia.

4. Normal Blood Pressure: In response to endurance training, there can be substantial reduction in both systolic and diastolic blood pressure. Regular exercise helps keep the blood pressure normal.

5. Increase in Stroke Volume and Cardiac Output: Since the size and strength of the heart increases, heart pumps blood more efficiently with increase in stoke volume and cardiac output.

6. Increase in Capillaries Network: To achieve the demand for oxygen, capillaries network increases. Due to the demands placed on different parts of the body during exercise, the capillary density at muscle sites improves. Increased capillary density allows for greater oxygen being transported to the muscles, improving their ability to perform intense exercise. Moreover, exercise helps in preventing the decline in capillary function that happens with age.

Class 12 Physical Education Physiology And Injuries In Sports_7

Class 12 Physical Education Physiology And Injuries In Sports_8

Do you know?
Most veins carry deoxygenated blood from the tissues back to the heart; exceptions are the pulmonary and umbilical veins, both of which carry oxygenated blood to the heart.

Effect of Exercise on Respiratory System

Class 12 Physical Education Physiology And Injuries In Sports_9

Extension Activity
Working in groups, create a working model of lungs.
Research respiratory diseases and how they affect the function of the respiratory system.
Can you alter your model to show what happens to the lungs with these diseases?
Can you demonstrate on their models what has been done to help people with respiratory problems?

Short Term Effects of Exercise in Respiratory System

1. Respiratory Rate Increases: Our body requires more oxygen during exercise, and to meet this increased demand, the respiratory rate (breathing rate) increases. The normal respiration rate for an adult at rest is 12 to 20 breaths per minute. per minute, but during exercises it increases to 40 breaths per minutes.

2. Tidal Volume Increases: The amount of air inhaled and exhaled in one breath is known as tidal volume. Tidal volume increases as a result of exercise to take in more oxygen and remove carbon dioxide from our body.

3. Rate of Exchange of Gas Increases: Regular exercise increases the rate of exchange of gas in lungs.

Long Term Effects of Exercise in Respiratory System

1. Increased Efficiency of Respiratory Muscles: Due to regular exercise efficiency of respiratory muscles increases, inhalation and exhalation become fluent. This helps to meet the demand of oxygen.

2. Increased Lung volume: Continuous exercises done for long duration help to increase the capacity and volume of lungs. Vital capacity increases almost 100 % as compared to that of a normal individual.

3. Increased Pulmonary Diffusion: Pulmonary Diffusion refers to the capacity of the lungs to allow oxygen and carbon dioxide to pass in and out of the blood. Regular submaximal exercise training develops the scope of increasing the exchange of gases to oxygen in this process the size of the alveoli also increases.

4. Increased Residual Volume: Residual volume is the volume of air that remains in the lungs after forceful expiration. Regular exercise increases residual volume that helps to exchange the gases in normal limits.

Do you know?
Universal donors are those with an O negative blood type. Why? O negative blood can be used in transfusions for any blood type. Types O negative and O positive are in high demand.
Only 7% of the populations are O negative. However, the need for O negative blood is the highest because it is used most often during emergencies. The need for O+ is high because it is the most frequently occurring blood type (37% of the population).

I. Tick the correct options

1. It is a condition typically defined wherein an individual has a resting heart rate of under 60 beats per minute (BPM) in adults.
(a) Bradycardia
(b) Hypertrophy
(c) Alveoli
(d) Perfusion

2. It is the amount of blood pumped out by each side of the heart (actually each ventricle) in 1 minute.
(a) Blood pressure
(b) Cardiac output
(c) Blood volume
(d) Anaemia

3. The resting Cardiac output is approximately.
(a) 10.0 lt.
(b) 1.0 lt.
(c) 5.0 lt.
(d) 15.0 lt.

4. The volume of blood pumped during one beat (contraction) is called,
(a) Blood flow
(b) Stroke volume
(c) Veins and arteries
(d) Capillaries

5. Process of converting glucose into energy without oxyzen:
(a) Anaerobic respiration
(b) Aerobic respiration
(c) Vital capacity
(d) Stroke Volume

7. Cardiac hypertrophy is
(a) plateauing of heart rate due to maximal exercise intensity
(b) enlargement of heart due to chronic endurance training
(c) lowering of heart rate due to physical training
(d) increase in ventricular volume because of exercise

8. What is the normal respiratory rate for an adult?
(a) 10 to 12 breath per minute
(b) 40 to 60 breath per minute
(c) 12 to 20 breath per minute
(d) 30 to 40 breath per minute

9. The amount of breath per minute increases during exercise to:
(a) 20 breath per minute
(b) 40 breath per minute
(c) 30 breath per minute
(d) 10 breath per minute

II. Answer the following questions briefly.
1. What is Stroke Volume?
2. What is residual volume?
3. What are the effects of exercise on the heart?
4. Write briefly about the effect of training on
(a) Blood flow
(b) Blood volume
5. How does cardiac output respond to training?
6. What is pulmonary diffusion? How does it respond to training?

III. Answer the following questions in 150-200 words.
1. Write briefly about the effect of training on
(a) Lung Volume
(b) Heart rate
2. What is blood pressuer? Briefly explain its response to exercise.
3. Define and explain the effect of exercise on:
(a) Total Volume
(b) Stroke volume

Effect of Exercise on Muscular System
Exercise involves a series of sustained muscle contractions, of either long or short duration, depending on the nature of the physical activity. Effects of exercise on muscles can be considered short-term or immediate, both during and shortly after exercise; as well as longterm, lasting effects.

Class 12 Physical Education Physiology And Injuries In Sports_10

Short Term Effect of Exercises on Muscular system

1. Increased blood supply: During exercise, in order to match demand of fuel to muscle, the supply or concentration of blood increases in the whole body or, in the particular muscle group where activity is largely impacted.

2. Increased muscle temperature: During exercises muscles demand energy, which comes from contracting muscles. During the process, a lot of heat energy is generated which increases the temperature of muscles, and/ or the body.

3. Increased muscle flexibility: Due to increase in blood flow and rise in temperature, elasticity of muscles increases. Stretching and mobility exercises also play a dominant role in increasing muscular flexibility.

4. Accumulation of Lactate: Muscles requires oxygen. If blood supply does not provide appropriate volume of oxygen to muscles, it leads to accumulation of lactate acid in muscles which result in pain, and soreness in muscles.

5. Micro-tears in Muscle Fibres: During exercises muscle tissue is placed under stress which results in micro-tears in muscle fibres. The body responds by repairing the muscle fibres and making them larger. When a muscle gets bigger, the process is called hypertrophy.

Long term effects of Exercise on Muscular system

1. Hypertrophy of Muscle: Scientific and systematic exercise leads to increase in thickness of muscle fibres that results in increase in muscle size also known as muscle hypertrophy.

2. Increases in Strength of Ligaments and Tendons: regular exercise helps to strengthen bones, ligaments and tendons. This helps prevent injury and promotes performance.

3. Increase in Size and Number of Mitochondria: Aerobic exercises leads to increase in size and numbers of mitochondria and which take in more oxygen and produce more ATP and energy.

4. Increase in Myoglobin Storage: Long term effect of aerobic exercise is to increase the storage of myoglobin which transports oxygen to mitochondria. Large amount of myoglobin means large amount of oxygen and large amount of energy.

5. Increase in Glycogen Storage: Glycogen is generally stored in muscles and liver. Regular exercise helps the body to increase the storage of glycogen which may give continuous energy for 90 to 120 minutes.

6. Increase in Oxidation/ Metabolism: Endurance exercise training increases the capacity skeletal muscle fat oxidation by increasing mitochondrial density. Long term exercises demand a lot of energy, and to meet this demand, metabolism increases due to oxidation of fat. This leads to increase in provision of energy.

7. Increase in Lactate Acid Tolerance: Regular exercises help to tolerate pain and sourness in muscles due to accumulation of lactate acid.

I. Tick the correct answers:

1. Which is not a long term effects of exercise on muscular system?
a. Hypertrophy of muscle
b. Increase metabolism
c. Increase Myoglobin
d. Increase blood supply

2. Which is not a Short term effects of exercise on muscular system?
a. Accumulation of Lactate
b. Micro-tears in muscle fibers
c. Increase muscle temperature
d. Increase in lactate acid tolerance

3. Physical activity helps to increase ________________________.
a. Size of muscle
b. Size of bone
c. Size of brain
d. Size of liver

4. Increase in glycogen stored in muscle is an effect of __________
a. Aerobic Training
b. Anaerobic Training
c. Cross Training
d. Above all

II. Answer the following questions briefly:
1. Explain long term effects of exercise on muscular system
2. Explain Short term effects of exercise on muscular system

III. Answer the following questions in 150-200 words:
1. Describe the various effects of exercises on muscular system

Physiological Changes Due to Ageing
Ageing, an inevitable and extremely complex, multifactorial process, is characterized by the progressive degeneration of organ systems and tissues. It is largely determined by genetics, and influenced by a wide range of environmental factors, such as diet, exercise, exposure to microorganisms and pollutants.

Class 12 Physical Education Physiology And Injuries In Sports_11

Muscular Strength - It is defined as the maximal force that a muscle or muscle group can generate. Men and women usually attain their highest strength levels between ages 20 and 40, the time when muscle cross-sectional area is largest. Concentric strength of most muscle groups declines, slowly at first and then more rapidly after middle age. Decline in eccentric strength begins at a later age and progresses more slowly than those in concentric strength.

loss begins at a later age for women than for men. A 40% to 50% reduction in muscle mass from muscle fibre atrophy and actual loss of motor units between ages 25 and 80 is the primary cause of reduced strength, even among healthy, physically active men and women.

Neural Function - A nearly 40% decline in the number of spinal cord axons and a 10% decline in nerve conduction velocity reflects the cumulative effects of ageing on central nervous system functioning. These changes are likely to contribute to the age-related reduction in neuromuscular performance assessed by simple and complex reaction and movement times. Ageing most adversely affects the time required to detect a stimulus and process the information to produce the response.

Endocrine Changes with Ageing - The endocrine system consists of a host organ (gland), minute quantities of chemical messengers (hormones), and a target or receptor organ. Approximately 40% of individuals aged between 65 and 75 years and 50% of those older than age 80 have impaired glucose tolerance leading to type 2 diabetes. Thyroid dysfunction, primarily from lowered pituitary gland release of the thyroid-stimulating hormone thyrotropin (and reduced output of thyroxine), is common among the elderly. This directly affects metabolic function, including decreased glucose metabolism and protein synthesis. Mean pulse amplitude, duration, and fraction of secreted growth hormone (GH) gradually decrease with ageing, a condition termed somatopause.

Pulmonary Function - Mechanical constraints on the pulmonary system progress with age to cause deterioration in static and dynamic lung function measures. Also, pulmonary ventilation and gas exchange kinetics during the transition from rest to submaximal exercise slow substantially.

Cardiovascular Function - Cardiovascular function and aerobic capacity do not escape agerelated effects. Because of a lower maximum heart rate, maximum cardiac output typically decreases with age in trained and untrained men and women. Reduced peripheral blood flow capacity accompanies age-related decreases in muscle mass. Sedentary living produces losses in functional capacity at least as great as the effects of ageing.

Body Composition - In physical fitness, body composition is used to describe the percentages of fat, bone, water and muscle in human bodies. After age 60, total body mass decreases despite increasing body fat.

Bone Mass- Bone Mass is a measure of the amount of minerals (mostly calcium and phosphorous) contained in a certain volume of bone. Osteoporosis poses a major problem with ageing, particularly among postmenopausal women. In this condition it produces loss of bone mass as the ageing skeleton demineralizes and becomes porous. Bone mass can decrease by 30% to 50% in persons older than age 60.

Do you know?
Oldest woman lived on earth was Jeanne Calmenta from France (born on 21 February 1875, died on 4 August 1997, lived for 122 years, 164 days).
Oldest man lived on earth was Jiroemon Kimura from Japan (born on 19 April 1897, died on 12 June 2013, lived for 116 years, 54 days).

I. Tick the correct answers:

1. Men and women usually attain their highest strength levels between the ages of
(a) 1 and 2
(b) 5 and 7
(c) 7 and 11
(d) 20 and 40

2. It is a measure of the amount of minerals (mostly calcium and phosphorous) contained in a certain volume of bone,
(a) Body composition
(b) Bone Mass
(c) Pulmonary function
(d) Neuron

3. The chemical substances synthesized by specific host glands, secreted into the blood, and carried throughout the body are called
(a) hormones
(b) sugar
(c) electrolytes
(d) capillaries

4. It is a disease in which bone weakening increases the risk of a broken bone,
(a) Measles
(b) Osteoporosis
(c) Atherosclerosis
(d) Beriberi

5. Decrease in size of a body part, cell, organ, or other tissue is called
(a) Myopia
(b) Atrophy
(c) Cardiac arrest
(d) Cardiac cycle

II. Answer the following questions in 150-200 words:
1. Describe the changes in endocrine system due to ageing.

Sports Injuries
Sports participation and exercise engagement have always witness an interruption among athletes towards active participation or lead to painful experience due to some or the other form of injuries. The injuries may be due to incorrect movement, hitting or colliding with equipment or aggressive sporting actions like diving and sliding, overtraining or lack of conditioning. All these injuries caused due to different reasons may not be of the same type, which means it may need different remedies and specific understanding towards each injury to avoid and prevent such injuries. The injury in sports and exercise refers to the physical damage caused to tissue, bone or any other organ of the body while in action and further leading to withdrawal from participation or experience pain while performing movement actions.

Definitions
An athletic injury is defined as “some physical damage or insult to the body that occurs during athletic practice or competition causing a resultant loss of capacity or impairing performance.” Morris (1984)5 a sports injury may be defined as damage to the tissues of the body that occurs as a result of sport or exercise. IOC manual of sports injuries (2012)6 Sports injury may be define as any stress or overstretch put on soft tissues or bone on/off the field resulting pain and hinder performance. Cut, tear, overstretching of tissues, breakage of bone or dislocation of joints are common injuries in sports, lets try to understand these classifications:
The injuries that occur during sport, athletic activities or during certain exercises. The risk for sports injuries occur if

 Class 12 Physical Education Physiology And Injuries In Sports_12

Classification of Sports Injuries
Sports Injuries can be classified according to the cause of the injury:

1. Direct Injuries: They are sustained from an external force causing injury at a point of contact.

2. Indirect Injuries: It usually involves the athlete damAgeing the soft tissues such as ligaments tendons or muscles of the body through internal or external force.

3. Soft Tissue Injuries: Any injuries to skin muscles or ligaments are soft tissue injuries.

4. Hard Tissue Injuries: Injuries that occur in bones and cartilages.

5. Overuse Injuries: They are sustained from continuous or repetitive stress, incorrect technique or equipment or too much training.

Extension Activity
Working in groups discuss
Have you ever had a sports injury? How did you get it?
Are there any ways for fellow athletes to avoid similar injuries?
Why is it important to take time to heal after a sports injury?
Why is it not a good idea to ignore any pain that you feel while playing a sport?
Why should you warm up before playing a sport? What can happen if you don’t warm up?

Types of Sports Injuries

Class 12 Physical Education Physiology And Injuries In Sports_13

Class 12 Physical Education Physiology And Injuries In Sports_14

Class 12 Physical Education Physiology And Injuries In Sports_15

Abrasion:
Abrasion injuries most commonly occur due to moving contact with a rough surface, causing a grinding or rubbing away of the upper superficial layers of the epidermis. 

Cause - Abrasion injuries commonly occur when exposed skin comes into contact with a rough surface, causing a grinding or rubbing away of the upper layers of epidermis.
Class 12 Physical Education Physiology And Injuries In Sports_16

Treatment - Clean the surface of the affected part. Stop bleeding at the earliest by compression bandages. Anti-tetanus injection should be provided.

Contusion It is the type of hematoma, which refers to any collection of blood outside of a vessel.

Cause - When a part of the body is struck by enough force to crush underlying muscle fibers and connective tissue without breaking the skin, a contusion may occur. It can be due to a blow from a collision with a player or a piece of equipment or because of a heavy fall.

Prevention - All the safety gear to be worn upon while playing (Helmet, anal guards,) should be worn.

Class 12 Physical Education Physiology And Injuries In Sports_17

Treatment - Non-steroidal anti- inflammatory drugs such as Ibuprofen, or other medications for pain relief as prescribed by the doctor.

Laceration: The irregular tear-like wounds caused by some blunt trauma.

Cause – Mostly, laceration is the result of the skin hitting an adjacent object, or an object hitting the skin with force.

Prevention - Proper personal equipment, including eye protection can be helpful in preventing the same.

Treatment - Clean the surface of the effected part. Stop bleeding at the earliest by compression bandages.

Class 12 Physical Education Physiology And Injuries In Sports_18

Strain
A strain is an injury to either a muscle or a tendon generally caused by overuse, force, or stretching. Depending on the severity of the injury, a strain may be a simple overstretch of the muscle or tendon, or it can result in a partial or complete tear. A strain could be an acute or chronic soft tissue injury that is a twist, pull or tear of a muscle or the tendon. 

Cause - Strains occur suddenly (acute strain) or develop slowly over time (chronic strain). CauseIt includes lifting of heavy objects, running, jumping, throwing etc.

Prevention - Regular stretching and strengthening exercise for any kind of sport can be the preventive measure for strain.

Treatment - It can be managed by applying ice packs and maintaining the strained muscle in a stretched position. (RICE: rest, ice, compression and elevation).

Class 12 Physical Education Physiology And Injuries In Sports_19

Sprain:
Sprain is the stretching or tearing of ligaments, the fibrous tissue that connects bones in the joints. A sprain occurs when you overextend or tear a ligament while surely stressing a joint. The most common location for a sprain is in your ankle.

Cause - A sprain occurs when one overextends or tears a ligament while severely straining a joint.

Prevention - Regular stretching and strengthening exercises for any kind of sport can be the preventive measure for such kind of sports injury.

Class 12 Physical Education Physiology And Injuries In Sports_20

Treatment – RICE (rest, ice, compression and elevation).

Incision: An incision is a cut made into the tissues of the body to expose the underlying tissue, bone or organ.

Cause - Can be caused by a clean, sharp-edged object – such as a knife, razor or glass splinter.

Prevention - The area should be free from the sharp edges.

Treatment - Gently wash the affected area with soap and water to remove the dirt. Dry the incision with a clean, fresh towel before applying the dressing.

Class 12 Physical Education Physiology And Injuries In Sports_21

Hard Tissue Injuries
An injury to the skeletal system of the body is termed as the hard tissue injury. They are the injuries where the bone fractures means the bone either cracks or breaks.

Class 12 Physical Education Physiology And Injuries In Sports_22

DISLOCATION
Dislocations are joint injuries that force the ends of your bones out of position. The cause is often a fall or a blow, sometimes from playing a contact sport. A joint dislocation, also called luxation, occurs when there is an abnormal separation in the joint, where two or more bones meet. A partial dislocation is referred to as a subluxation. Dislocation can be caused by a trauma (accident or fall) or the weakening of muscles and tendons. A dislocated joint can be treated through medication, manipulation, rest or surgery.

Causes - Trauma that forces a joint out of place causes a dislocation. Accidents, falls, and contact sports such as football are common causes of this injury. Dislocations also occur during regular activities when the muscles and tendons surrounding the joint are weak. These injuries happen more often in older people who have weaker muscles and balance issues.

Symptoms - Symptoms of a dislocation vary depending on the severity and location of the injury. The symptoms of a dislocated joint include:
• Pain
• Swelling
• Bruising
• Instability of the joint
• Loss of ability to move the joint
• Visibly deformed joint (bone looks out of place)

Treatment - Treatment can vary based on the severity of the injury, and the joint that is dislocated. Applying ice and keeping the joint elevated can help reduce pain while you wait to see a doctor. Treatment includes:

• Medication: Your doctor may recommend medication to reduce pain from a dislocation
• Manipulation: A doctor returns the bones to their proper places.
• Rest: Once the joint is back in place, you may need to protect it and keep it immobile. Using a sling or splint can help the area heal fully.
• Rehabilitation: Physical therapy exercises strengthen the muscles and ligaments around the joint to help support it.
• Surgery: Your doctor may recommend surgery if:
• Manipulation does not work to put the bones back in place.
• The dislocation damaged blood vessels or nerves.
• The dislocation damaged bones, tore muscles or ligaments that need repair.

Class 12 Physical Education Physiology And Injuries In Sports_23

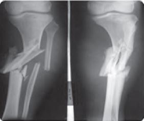
FRACTURES
A fracture is a break in a bone. Fractures are caused by a direct impact, such as a fall or a severe tackle. Stress fractures develop over time and are caused by overuse.

Stress fracture:
Stress fractures may occur because of overuse injuries and the failure to have adequate equipment to protect the body.

Causes - Stress fractures often result from increasing the amount or intensity of an activity too quickly.

Prevention - Low impact activities added to exercise regimen to avoid repetitively stressing a particular part of the body.

Treatment - Rest, cold therapy ice packs, cold compresses, apply ice to the injured area, anti- inflammatory medications such as Ibuprofen, aspirin etc and a recovery time of 6 to 8 weeks is required for healing.

Class 12 Physical Education Physiology And Injuries In Sports_24

Greenstick:
A fracture in a young, soft bone, in which the bone bends.
Causes - These fractures most commonly occur with a fall.
Prevention - Promotion of regular exercise, ensuring the child’s safety by providing proper safety equipment and adequate calcium in the child’s diet can also help to prevent this kind of fracture.

Treatment - Removable splints result in better outcomes than casting in children with –  lorus fractures of the distal radius.

Class 12 Physical Education Physiology And Injuries In Sports_25

Comminuted:
A fracture in which a bone is broken, splinted or crushed into number of pieces.
Causes - Direct and indirect trauma or violence can be causes for commutated fracture.
Prevention - Maintaining strong bones by eating food that is rich in calcium and regular exercise can help in the prevention of this type of fracture.

Treatment - An X-ray is important for diagnosing of the condition. An open reduction when the bone fragments are jammed-together using surgical nails, wire plates etc. is required for commutated fracture.

Class 12 Physical Education Physiology And Injuries In Sports_26

Transverse: Transverse fracture is when there is a straight break right across a bone.

Causes - When a large amount of force is transmitted directly ie., perpendicularly to the bone.

Prevention - Physical activity and weight bearing exercises will make the bones stronger and denser. Bones can also be strengthened by eating foods rich in calcium and taking regular exercise.

Treatment - Can be treated at home along with rest and medicine. A back brace (called TSL) or abdominal binder may be prescribed to reduce the pain by limiting motion at the fracture site.

Class 12 Physical Education Physiology And Injuries In Sports_27

Oblique:
Oblique fracture is one in which the bone breaks diagonally. Causes - This fracture is usually caused by an injury to the bone as the result of a fall, accident or other trauma.

Prevention - Bones can be strengthened by eating food rich in calcium and exercising regularly to help prevent this type of fracture.

Treatment - It depends upon the severity of the crack or break. Anti- inflammatory medication, reduction (Resetting the bone) can also help to some extent.

Class 12 Physical Education Physiology And Injuries In Sports_28

Extension activity
Write down the examples of dislocation and fracture on the various body parts and its treatment.

Impacted
This type of fracture occurs when the broken ends of the bones are jammed together by the force of the injury.

Causes - It is caused mainly when someone falls from height with a great impact.

Prevention – Increased physical activity, weight bearing exercises and maintaining good intake of calcium in food can help in preventing this type of fracture.

Treatment - In an impacted fracture the bones get broken into fragments. Therefore, a sling or a splint may be required to keep the broken bones in place, so that movement of the sharp ends of the broken bone is prevented. This is essential to prevent further damage to the bone.

Class 12 Physical Education Physiology And Injuries In Sports_29

 

I. Tick the correct answers:

1. A sprain is an injury to:
(a) Muscle
(b) Tendon
(c) Ligament
(d) Bone

2. A bone fracture is an example of injury to
(a) Skin
(b) Soft tissue
(c) Hard tissue
(d) Eyes

3. A soft tissue injury damages,
(a) Ligaments and tendons
(b) Bone
(c) Cartilage and muscles
(d) Carpals

4. A fracture in which the bone breaks diagonally,
(a) Greenstick
(b) Impacted
(c) Oblique
(d) Transverse

II. Answer the following questions briefly:
1. What is communated fracture? Write its cause, prevention and treatment.
2. What is a sprain? Write its cause, prevention and treatment.

III. Answer the following questions in 150–200 words:
1. Name the more common types of fractures and describe them.
2. What is a soft tissue injury? Name four types of soft tissue injury and describe it.

First Aid
The term was officially adopted in England for the first time in 1879 by St. John’s Ambulance Association. It refers to the treatment which is given to the casualty suffering from either a minor or serious illness or injury, to preserve life, prevent the condition from worsening, or to promote recovery. It includes initial intervention in a serious condition prior to professional medical help becomes available, such as performing cardiopulmonary resuscitation (CPR) while waiting for an ambulance, as well as the complete treatment of minor conditions, such as applying a plaster to a cut. A First aid is generally performed by
someone with basic medical training.

Do you Know?
The Red Cross and Red Crescent are still the largest providers of First Aid worldwide.

Extension Activity
Do you know how to apply a bandage?
• Do you know what treatments are given for bruises and cuts?
• Find out, discuss in your class and demonstrate.

First aid is the process of carrying out the essential emergency treatment. It is immediate and temporary care given to the victim of accident, injury or sudden illness.
The person who gives treatment to the person suffering from a disease or an accident, to improve his condition is called an ‘aides’ and the medical treatment given as aid is called –the ‘first aid’.

The initial assistance given to a victim of an injury or illness, comprises of relatively simple techniques that can be performed with rudimentary equipment.
First Aid can be carried out by any person until professional medical assistance arrives.

Do you Know?
The basic objectives of First Aid are:
• to give immediate care.
• to protect the casualty from further harm.
• to relieve pain.
• to promote recovery.
The recovery is promoted as the heart rate goes down, which in turn prevents blood loss from the victim’s body.
• Its purpose is to preserve life, assist recovery and prevent aggravation of the condition, until the services of a doctor can be obtained or during transport to hospital or casualty’s home.
• It is something which means what other people can do for the casualty when he/she is unable to move, the help provided to the casualty is known as First Aid.
• First Aid helps ensure that the right methods of administering medical assistance are provided.
• First Aid is the immediate temporary care given to the victim of an accident or sudden illness.
• Its basic purpose is to provide immediate medical aid by a competent and qualified medical personnel till the casualty reaches Hospital.

Aims and Objectives
1. To prepare properly for any emergent situation to avoid errors and act quickly and calmly.
2. To assess and care life-threatening conditions first
3. To minimize further injury, infection and complications
4. To make the victims comfortable as possible which enable him to save energy.
5. To transport the victim to a medical facility as per necessity.

The key guiding aims and objectives of first aid is given below:

 Class 12 Physical Education Physiology And Injuries In Sports_30

P.R.I.C.E.
The traditional protocol of dealing with sports injury, R.I.C.E., has now been modified to P.R.I.C.E. This refers to the addition of the word “Protection” to Rest, Ice, Compression and Elevation. Protecting the injured area from further damage is crucial to the healing process.

Protection
Protect the affected area from further injury by limiting or avoiding weight-bearing through the use of crutches, a cane, or hiking poles. Partially immobilizing the injured area by using a sling, splint, or brace may also be a means of protection.

Rest
• Stop using injured part or discontinue activity. It could cause further injury, delay healing, increase pain and stimulate bleeding.
• Use crutches to avoid bearing weight on injuries of the leg, knee, ankle and foot.
• Use splint for injuries of the arm, elbow, wrist and hand.

Ice
• Ice application contracts blood vessels.
• Helps stop internal bleeding from injured capillaries and blood vessels.
• Hastens healing time by reducing swelling around injury.
• Keep damp or dry cloth between skin and ice pack.
• Do not apply ice for longer than 15 to 20 minutes at a time.
• Apply every hour for 10 to 20 minutes.
• Apply ice as long as pain or inflammation persists.

Compression
• Hastens healing time by reducing swelling around injury.
• Decreases seeping of fluid into injured area from adjacent tissues.
• Use elasticised bandage, compression sleeve, or cloth.
• Wrap injured part firmly.
• Do not impair blood supply.
• Too tight bandage may cause more swelling.
• Wrap over ice.
• Loosen the bandage if it gets too tight.

Elevation
• Elevate injured part above the level of heart.
• Decreases swelling and pain.
• Use objects and pillows.

Case Study

In sports, injuries are inevitable. Even when athletes are in peak physical form, a single careless step, awkward landing, or violent collision can bend joints and limbs in ways they aren’t meant to move. When those serious injuries happen to athletes, it makes the return tougher. Read about these two athletes who suffered injuries and made amazing comebacks.

Saina Nehwal
Saina Nehwal suffered a career-threatening knee injury ahead of the Rio Olympics and had to undergo a surgery in August 2016, but she fought back to recover and play on the International circuit again. She was ranked number one in 2015 when she injured her knee badly during a match. It was a career-threatening injury because badminton players left the game at the age of 26. So, it was very difficult to make comeback but she fought back and recovered from injury and won Malaysia masters and other international tournaments. “I never knew what surgery was but after I went through it I realised how tough returning from it can be. You lose movements, touch and again to get back to your full fitness is extremely tough.” In an interview shortly after, she said, “I never knew what surgery was but after I went through it I realised how tough returning from it can be. You lose movements, touch and again to get back to your full fitness is extremely tough. It takes more time than usual, you can’t straightaway recover and win. It is not only physical but mental too. Even now there is always this tension and fear that I might pick up an injury again.” She added, “My injured knee is far from what it was earlier, but I’ve understood how to get the most from it.”

Ramandeep Singh
Indian hockey team striker Ramandeep Singh said the hunger to wear India colours again kept me motivated and strong while he was battling injury. Ramandeep made a comeback to the national squad after recovering from a career-threatening injury that kept him in the sidelines for nearly a year. He sustained a full thickness condral fracture-injury in the centre of his right knee during India’s match against Pakistan at the FIH Men’s Champions Trophy in June 2018. “I think what really kept me strong through this entire period was my hunger to wear the India jersey again. I just did not want to give up on this desire and kept working on gaining full match fitness,” said Ramadeep. On his selection in the Indian Team he says. “Now that I have been selected, it reinstates my belief and confidence. I am really excited to play for India again. I have literally counted days for this moment and I will do my best for the team which stood by me during my struggle over the past year.”

Q. What injuries did the two athletes sustain?
(a) Injured back
(b) Injury to the knee
(c) Injured leg
(d) Injury to the arm

Q. What quality did these two athletes display that helped them recover?
(a) Fear
(b) Bravery
(c) Determination
(d) Patriotism

Q. What fears did Saina Nehwal have when she started playing again after her injury?
(a) She may not reach the same level again
(b) Her knee may not be what it was earlier
(c) It was her age to retire from the game
(d) She may injure herself again
Q. Explain the psychological factors which may have helped Saina Nehwal and Ramandeep Singh to make a comeback.

Art Integration
Knee joints and ligaments are the most affected by a sports injury. The most common tears
occur in Anterior Cruciate Ligament (ACL), Posterior Cruciate Ligament (PCL), Medial
Collateral Ligament (MCL) and Meniscus. 65-75% cases of twist and bend accidents result in
ACL tears, which is the most common. Meniscus usually accompanies an ACL tear with pain
in and around the knee.
Make a 3D model of the knee showing any ONE of the injuries that may occur on the field.

I. Tick the correct answers.

1. First Aid is the
(a) completing secondary survey
(b) first help given to the casualty
(c) accessing a victim's vital sign
(d) electrolyte imbalane

2. Dressing and band ages are used to
(a) increase the victim's pain.
(b) increases internal bleeding.
(c) help control bleeding and prevent infection.
(d) Stitch up a deep wound

3. What is the best way to stop external blood loss?
(a) apply direct pressure over the wound
(b) take the patient to hospital
(c) wash the wound with water.
(d) apply cream on wound

4. A burn should be immersed or placed under cold water for at least?
(a) 5 min
(b) 10 min
(c) 15 min
(d) 20 min

5. The key guiding aims and objectives of first aid are,
(a) present, promote injury, preserve water
(b) present further injury, promote recovery, preserve life
(c) preserve recovery, preserve minerals, preserve environment
(d) pull ups, push-ups, power lifting

6. What is R.I.C.E. treatment?
(a) Rest, Ice, Crutches, Elevation
(b) Rest, Ice, Compression, Elevation
(c) Rest, Ibuprofen, Crutches, Exercise
(d) Recovery, Ice, Compression, Exercise

II. Answer the following questions briefly.
1. Define muscular strength and Speed.
2. Name the physiological factors determining the component of physical fitness.
3. Write down the aims and objectives of first aid.

Please click on below link to download CBSE Class 12 Physical Education Physiology And Injuries In Sports Notes

CBSE Class 12 Physical Education Physiology And Injuries In Sports Notes

Students can use these Revision Notes for Physiology And Injuries In Sports to quickly understand all the main concepts. This study material has been prepared as per the latest CBSE syllabus for Class 12. Our teachers always suggest that Class 12 students read these notes regularly as they are focused on the most important topics that usually appear in school tests and final exams.

NCERT Based Physiology And Injuries In Sports Summary

Our expert team has used the official NCERT book for Class 12 Physical Education to design these notes. These are the notes that definitely you for your current academic year. After reading the chapter summary, you should also refer to our NCERT solutions for Class 12. Always compare your understanding with our teacher prepared answers as they will help you build a very strong base in Physical Education.

Physiology And Injuries In Sports Complete Revision and Practice

To prepare very well for y our exams, students should also solve the MCQ questions and practice worksheets provided on this page. These extra solved questions will help you to check if you have understood all the concepts of Physiology And Injuries In Sports. All study material on studiestoday.com is free and updated according to the latest Physical Education exam patterns. Using these revision notes daily will help you feel more confident and get better marks in your exams.

FAQs

Where can I download the latest PDF for CBSE Class 12 Physical Education Physiology And Injuries In Sports Notes?

You can download the teacher prepared revision notes for CBSE Class 12 Physical Education Physiology And Injuries In Sports Notes from StudiesToday.com. These notes are designed as per 2026-27 academic session to help Class 12 students get the best study material for Physical Education.

Are these Physical Education notes for Class 12 based on the 2026 board exam pattern?

Yes, our CBSE Class 12 Physical Education Physiology And Injuries In Sports Notes include 50% competency-based questions with focus on core logic, keyword definitions, and the practical application of Physical Education principles which is important for getting more marks in 2026 CBSE exams.

Do these Class 12 notes cover all topic-wise concepts for Physical Education?

Yes, our CBSE Class 12 Physical Education Physiology And Injuries In Sports Notes provide a detailed, topic wise breakdown of the chapter. Fundamental definitions, complex numerical formulas and all topics of CBSE syllabus in Class 12 is covered.

How can I use CBSE Class 12 Physical Education Physiology And Injuries In Sports Notes for quick last-minute revision?

These notes for Physical Education are organized into bullet points and easy-to-read charts. By using CBSE Class 12 Physical Education Physiology And Injuries In Sports Notes, Class 12 students fast revise formulas, key definitions before the exams.

Is there any registration required to download Class 12 Physical Education notes?

No, all study resources on StudiesToday, including CBSE Class 12 Physical Education Physiology And Injuries In Sports Notes, are available for immediate free download. Class 12 Physical Education study material is available in PDF and can be downloaded on mobile.